
Cursos y Jornadas
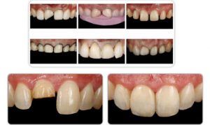
Aspectos clínicos del tallado de carillas: cómo actuar ante diferentes situaciones controvertidas
Leer más »
23 abril 2021

Cursos y Jornadas
Segundo TIP SEPES: Ferulización Periodontal: Cómo conseguir una buena estabilidad a medio-largo plazo.
Leer más »
1 abril 2021







